関ジャニ∞の安田章大さん
なんと脳の腫瘍摘出をジャニーズ事務所の
公式サイトで発表
早期発見が功を奏したこと。
腫瘍が良性だったことが幸いし
現在は術後の経過は良好と報告されている。
渋谷すばるさんのレギュラー番組
最終出演日についても書いてあります。
安田章大手術報告とは
2018年7月2日の
ジャニーズの公式サイトでの安田章大さんの報告
ジャニーズ事務所
所属タレント安田章大(関ジャニ∞)に関するお知らせ
平素は格別のご高配を賜り厚く御礼申し上げます。
当事務所所属タレント安田章大(関ジャニ∞)の体調につきまして皆さまにお知らせがございます。
安田は2017年2月上旬に髄膜腫(ずいまくしゅ)という良性の脳腫瘍の摘出手術を行いました。手術は無事に成功し、現在も経過は良好でございます。
順調に回復するなか、2018年4月9日に立ちくらみが原因で誤って転倒してしまい、背中と腰に全治3ヶ月の骨折を負いました。渋谷すばるの記者会見に出席することができなかったのはこの骨折が原因でございます。
当時、事実の公表を差し控えさせていただいたのは、関ジャニ∞が7人から6人になることでファンの皆さま、関係者の皆さまが様々な思いを抱く事を考えた時に、このタイミングでこれ以上のご心配をおかけするべきではないという判断からです。
理由の如何にかかわらず、事実をお伝えすることができなかったことにつきまして、心よりお詫び申し上げます。
そして、この度、事実を公表することにしましたのは、安田の体調は順調に快方に向かっておりますが、皆様よりご心配の声を多数頂戴しておりますため、きちんと現状をお伝えし、ご安心いただくべきであると考えたことによるものです。
一方で、骨折は順調に回復してるものの完治するまでには至っておりませんので7月15日(日)よりスタートいたします全国ツアー「KANJANI’S EIGHTERTAINMENT GR8EST」につきましては、本来のパフォーマンスをさせていただくことができませんが、今の安田にできる最大限のパフォーマンスをさせていただくことでご了承いただけますと幸甚に存じます。
安田はベストな状態ではありませんが、メンバーは自分らりにできるすべてのことを今回のステージを通してお届けすることで関ジャニ∞の船出とする覚悟でおります。皆様にはぜひともありのままの6人の姿を見ていただき、同じ時を共有していただけますと幸甚に存じます。
どのような状態であっても、当事務所・関ジャニ∞メンバー・スタッフ一同、皆様に楽しんでいただくことができるコンサートツアーや関ジャニ∞の活動を作ることに全力を尽くす所存でございます。
改めて、この度はご心配をおかけしましたこと、重ねてお詫び申し上げます。
これからの関ジャニ∞を何卒よろしくお願い申し上げます。
2018年7月2日
株式会社ジャニーズ事務所
関ジャニ∞
これからも応援してくださるファンの皆様には
ご心配をおかけするかと思いますが、
安田章大の意志をしっかり汲み取り、
メンバー、スタッフ一同、最善かつ最大限のサポートをしていくことで、今まで以上の関ジャニ∞をお見せしていくべく、精進してまいります。
今後も変わらぬご声援よろしくお願いいたします。
2018年7月2日
関ジャニ∞メンバー一同引用:http://www.johnnys-net.jp/page?id=text&dataId=1545
安田章大手術報告をまとめ。渋谷すばるの記者会見欠席理由も
2月上旬に脳の腫瘍の摘出手術
病名は髄膜腫(良性)ですべて取り除いた
手術は無事成功。
順調に回復する中、
2018年4月9日に立ちくらみが原因で
背中と腰を骨折(全治3カ月)
髄膜腫は良性で手術が成功しても
術後数ヶ月は一時的な意識障害、言語障害、痙攣等副作用が
続くとのこと。この時の立ちくらみは、これが原因か。
2018年4月15日の渋谷すばるさんの
脱退会見を欠席した理由はこの骨折が原因だった。
2018年7月15日からのLIVEは様子を見ながら参加する予定
ステージに立てるように現在リハビリ中
万全を期すため、バラエティは控えるとのこと
やす。
去年の2月上旬に脳腫瘍の摘出手術をおこなう。
髄膜腫やって、4月9日に立ちくらみがして背中を強くうって背中と腰骨折。
全治3ヶ月。すばるくんがいない現実が。#安田章大 pic.twitter.com/p3imQZOtyh
— しぶらー (@eightrsuba) 2018年7月2日
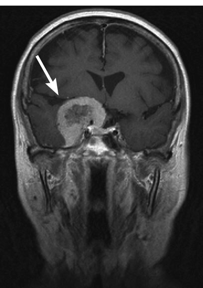
安田章大の手術報告で語った髄膜腫とは
(画像引用元 https://health.goo.ne.jp/medical/108A0300)
髄膜腫(ずいまくしゅ)は脳腫瘍のなかで最も多い脳腫瘍です。一般的に脳を覆うくも膜の細胞から発生し、90%以上は良性腫瘍です。
多くは脳実質外に存在しますが、約30%は脳表面を覆う軟膜を破壊し、脳浮腫や脳内伸展を認めます。女性に多く、原因として遺伝や放射線、女性ホルモンなどの関与が示唆されているが、多くは原因不明です。
腫瘍の生じる部位によって、様々な名称がありますが、代表的なものは円蓋部髄膜腫、傍矢静洞髄膜腫、大脳鎌髄膜腫などです。
引用:http://www.akita-noken.jp/pc/patient/disease/section3/id74.php?type=
NEWS ZEROでも髄膜腫について説明している
NEWS ZERO
安田章大 pic.twitter.com/BM2mPZPG7h— ∞Kana∞❤︎ (@eitgher) 2018年7月2日
考えたくはないけど
今後、再発の可能性も少なからずあるとのこと。
安田章大手術報告にネットの声
今はゆっくりと休んで、また元気な姿をみせてくださいね!
無理もしてきたね。
元通りのヤスくんになるの、ちゃんと待ってるからゆっくり休んでくれていいよ。
なので、エイターは、笑顔で全力で応援しますね(*^^*)
安田さんも鼻から内視鏡で脳腫瘍の手術だったのかな。
開頭手術ではないから社会復帰は早いけど、
それでも場所が場所なので若くても体力が戻るのだって大変だし、
副作用の心配とも付き合わなくちゃならない。
安田さん、大変だったんだな…。
とにかく少しでも休める時は休んで
生活して欲しいと思います。
応援しています。
腰の心配はしていましたが、まさか腫瘍があったとは…。
とても心配です。
無理することなく、ゆっくり治して欲しいです。
すばるくんの退所やヤスくんの病気。
色々あった中で、メンバーみんな笑顔で頑張ってたんですね。
みんな、多かれ少なかれ苦労があるんだなあ。
早く元気になれるといいね。
お大事にしてね。
朝から夜まで手術が掛かったな。
何でもない平地で転んだり、視力に影響出たりするし、記憶障害も出る。
ま、手術が成功すれば何も問題なくなるけどね。
成功して良かったですね。
自分、ジャニーズなんて全然興味ないけどもう関ジャニのファンになりそう
ジャニーズとか関係なく元気に復帰して欲しい
コンサートも安田君の元気な姿見たいけど、無理しなくていい。
これから先いっぱい元気な姿見せてもらうから、今は体の事を一番に考えてください。
— よもぎ (@Yasu_Yomogi17) 2018年6月27日
ファンだってこんな事ならグループ活動を一時中止しても納得するんじやない?
無理させないでほしいよ。
そんな中でも脱退を決めた渋谷すばるは
相当意志が硬かったんだな。
友人が大ファンで代わりに…
手術して、骨折もした。
それだけ体が休養を求めてます
健康が1番です、本当にゆっくりしてほしい
誰もあなたを忘れないから、万全になってから帰ってきてくれたら…
いつもeighterを最優先に考えてくれて、今回もeighterを気遣ってくれたヤスくん。でも今回ばかりは自分を気遣って、自分を最優先に考えて欲しい。心からそう願います。
確かにファンはただでさえ脱退でショック受けてるのに安田くんのこともあったらパニックだったね。
メンバーは気丈に振る舞って、本当プロだわ。
ジャニーズの誠意ある対応、が表れた文章に感じます。
何時もこうだと色々言われないのに、ジャニーズお祓いがいりますかね。
もうね、居てくれるだけでも良いよ
安田さんは居なくならないで
本当にただの立ちくらみならいいけど、髄膜腫手術による痙攣とか失神とかてんかんとかでないといいけど。まだまだ若いし健康第一で活動してほしいですね。
でも無理はしないでほしい。ツアーも今年は取りやめてもいいのではないかと思ってしまう…
まさか髄膜腫だったとは。
ツアーが始まりますが無理はせず、ゆっくり治していってください。
ほな おつかれした♡
(///ω///)テレテレ♪ お疲れ様💓#安田章大 pic.twitter.com/6nG5kPysFO
— 関ジャニ∞ 動画&画像 (@eight_mirin) 2018年6月28日
何か異常があればすぐに検査や入院が出来るし休める環境
当たり前かもしれないけど重要だよな
特に芸能人にとって何かあった時に「休める」ってのは大きいだろう
ではなー
渋谷すばるさんのレギュラー番組
最終出演日についても書いてあります。






















